AI in Medicine Research: Advancements in Diagnosing Celiac Disease

AI's Role in Medicine Research
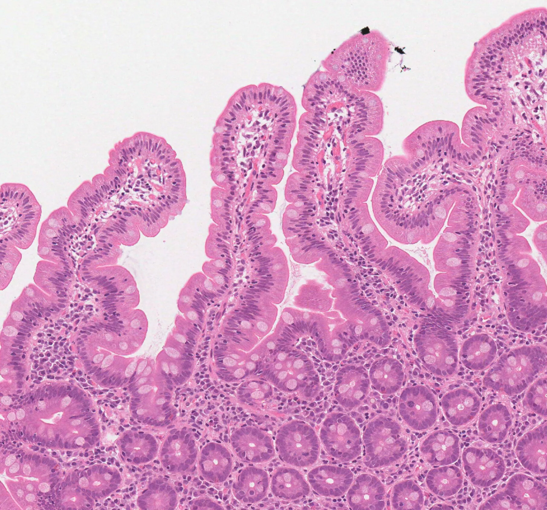
Recent health research indicates that a machine learning algorithm developed by researchers at Cambridge can accurately diagnose celiac disease, matching the performance of trained pathologists. The algorithm was able to identify the presence of celiac disease in 97 out of 100 cases based on biopsy samples.
Significance of the Research
- A substantial breakthrough in medicine science.
- Potential for widespread application in clinical settings.
- Enhancements in overall health diagnostic accuracy.
This study adds to the body of evidence supporting health science initiatives that integrate AI technologies into medical research.
Future Implications of AI in Health Research
The findings underscore the necessity for further exploration in health research, particularly how AI can aid in early disease detection and management. Researchers advocate for increased investment in technologies that fuse AI with traditional diagnostic methodologies.
This article was prepared using information from open sources in accordance with the principles of Ethical Policy. The editorial team is not responsible for absolute accuracy, as it relies on data from the sources referenced.